Fresno Dental Scan
3D Dental Services and Cone Beam Dental Scans in Fresno, CA
Home
About Us
For Patients
For Doctors
Our Services
Call Us
Directions
How to pay
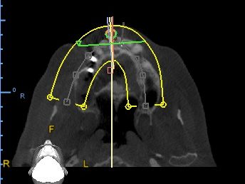
Implant Planning Case 1